からだに優しい歯科治療
歯並び矯正・予防歯科
安心・安全な歯科医療をご提供します。
からだに優しい歯科治療
歯並び矯正・予防歯科
安心・安全な歯科医療をご提供します。
歯科外来診療環境体制加算(外来環)届出医院
―ブログ―










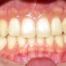
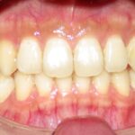
マウスピース矯正をお試し体験!
目立たず、痛まず、美しく
“お試し”から始める
新スタイルの歯列矯正
矯正治療を行う院長はマウスピース矯正治療経験20年以上のキャリアを持ち、インビザライン・PLATINUM・プロバイダードクター(2025年実績)の有資格者です。
気になることは何でもご相談ください。
私たちは、来院されたすべての患者さんが一生ご自身の歯でおいしく食事を楽しめることを大切にしています。
そのために、患者さん一人ひとりに合わせた実現可能なフォローとアドバイスを重視し、治療だけでなく、予防歯科を基本とした診療を行っています。
中でも、噛み合わせや歯並びを整える矯正治療は、将来のお口の健康を守るための重要な治療と考えています。
これからも、患者さんに寄り添い、長く安心して通っていただける歯科医院を目指してまいります。
治療の根拠を大切にし、これまでの実績に基づいた安心・安全な歯科医療を提供しています。
丁寧な説明と確かな技術で、納得して受けられる治療を心がけています。
当院は、虎の門病院・三井記念病院・徳洲会病院と医療連携を行っています。
高度な治療や専門的な対応が必要な場合も、安心してご相談いただけます。
院内感染予防を徹底し、器具の滅菌や院内の衛生管理に細心の注意を払っています。
患者さまが安心して通院できる、清潔で安全な環境づくりを大切にしています。
当院では、歯科医院特有の緊張感を和らげるため、病院らしさを感じさせない、親しみやすい内装づくりを大切にしています。
どなたでも安心して通える、やさしい空間を整えています。
Greeting
こんにちは。吉祥寺壱番館歯科医院 院長の荒尾 (あらお )です。
私は、小学生の頃から歯科医師になるまで、虫歯になったことがありませんでした。
大学院在学中、自分自身がブラケットを使用したワイヤー矯正を施術される立場に。矯正治療中の患者さまの立場はこの時期に十分体験してます。
大学院では最先端の治療用の各種材料を研究していました。
最新・最良こそ最高の治療につながると信じて。
その後に虫歯が見つかって(ブラケット装着時、十分なブラッシングは困難でした)、自分がむし歯の患者という立場になったときに、考え方が大きく変わりました。
治療を受けるときの痛みや不安な気分、どうにかしてこの状態を改善してほしいと願う気持ちを知り、「治療は患者さまのためにあるべき」という思いが強く心に芽生えたのです。
現在は、歯科医院側(治療を行う側)が治療の終着点を一方的に決めつけるのではなく、患者さま自身が満足できる治療を行うべきではないかと思っています。
これまでに身につけた歯科治療の知見・技術を患者さまのために活用し、患者さまが満足してくれる治療結果を目指したいと考え、それこそが当院の歯科治療の最終目標であると考えるようになりました。
私は、20年以上にわたって一般歯科治療に加え、マウスピース矯正に携わってきました。
幼い頃に当院でマウスピース矯正を行った患者さまが、最近ご結婚なさり、ご本人や親御さまからあらためて感謝のお言葉をいただいたこともあります。
これからも、患者さまの気持ちに寄り添った一般歯科治療や矯正治療に取り組んでいきたいと心から思っています。
吉祥寺壱番館歯科医院では、それぞれの患者さまに合った治療プランをご用意。十分なカウンセリングとご提案を行った後、初めて検査・治療を行うようにしています。
実際にお口の中を拝見し、患者さまにとって最良と考えられる治療をご提案します。
患者さまがキレイな歯並びと健康なお口を目指していけるよう、しっかりサポートしたいと思っていますので、まずはぜひ無料相談にお越しください。私たちと一緒に、美しく健康的な口元を目指して頑張っていきましょう。
院長 荒尾 武文
歯科医師
American Heart Association BLS Provider/NYU
NYU Implant Seminar Certificate /
New York University College of Dentistry
Linhart Continuing Dental Education Program
インビザラインドクター(インビザライン矯正認定医)
インビザライン・PLATINUM・プロバイダー(2025年実績)
ITI ストローマンインプラント認定医
Straumann PARTNERS™認定医院 (2021年実績)
O.A.M (大口式) インプラントシステム認定医
日本顎咬合学会会員
歯科医師免許取得後、大学院にて生体機能制御歯科学を専攻。大学院では、矯正治療に必須となる接着材「スーパーボンド」の物性他について研究を行ってまいりました。
また、大学院在学中より研究・学会発表(国内外)・論文執筆を積み重ねながら、一般開業医でも虫歯・入れ歯の治療に取り組んできました。
その一方で、企業の健康管理センター等で、嘱託医として予防歯科にも従事。数万人の方々のお口の衛生管理および改善を経験してきました。
その後は都内開業医勤務と並行して矯正歯科・インプラントについて深く学び、研修を重ね、2004年に吉祥寺壱番館歯科医院を開院するにいたりました。